ClearRead Xray
Clinical A.I.
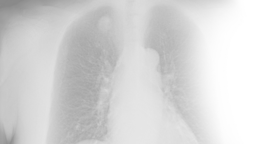
Features AI software that transforms a chest X-ray into a soft tissue image, providing unprecedented clarity. ClearRead X-ray provides clinicians with the tools to get the most out of the most commonly performed imaging exam, the chest X-ray. The ClearRead Xray aids clinicians by optimizing the chest X-ray and removing obscuring structures, allowing clinicians to see the whole picture.

ClearRead Xray | Bone Suppress
See Only What You’re Looking For
An innovative image enhancement technology designed to increase the clarity of chest X-rays by suppressing bone on digital images. This enterprise-wide solution uses existing digital X-ray equipment, providing a soft tissue image for digital chest X-rays, allowing clinicians to see and detect more
ClearRead Xray | Detect
Early Detection is the Best Detection
An advanced computer-aided detection (CAD) technology that identifies areas on a chest X-ray that may warrant further investigation by the clinician, like early-stage cancer. The newest FDA approved version offers superior marking capabilities with an improved 75% reduction in false positives and improvement in sensitivity.
ClearRead Xray | Confirm
Decrease Read Time, Increase Accuracy
Software that identifies and highlights lines and tubes on portable chest X-ray images while maintaining excellent image quality. Since diagnostic quality is preserved, radiologists can minimize imaging adjustments and decrease reading time. With Confirm, radiologists reduced portable reading time by approximately 19% without compromising accuracy or confidence.
ClearRead Xray | Compare
See Only What You’re Looking For
Provides a clear illustration of density changes between current and prior chest X-ray images. This historical comparison enables radiologists to discover typically unseen diagnostic potential, allowing earlier disease detection and improved patient outcomes without additional radiation dose.

